Table of Contents
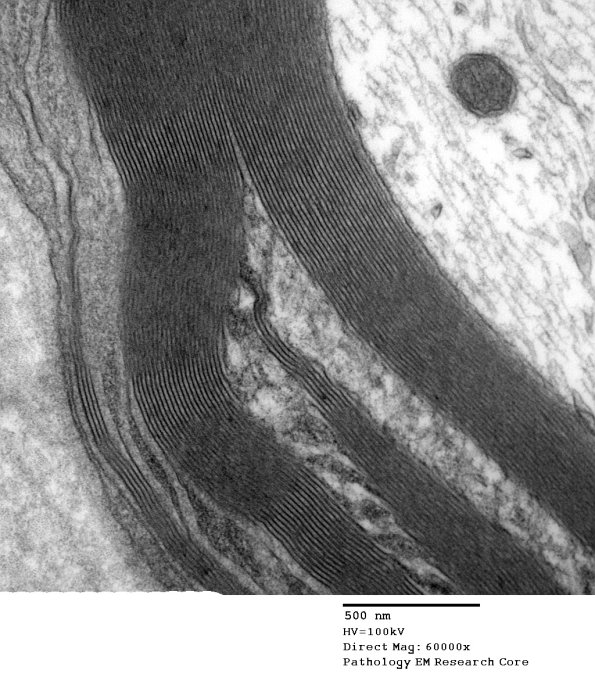
Washington University Experience | PERIPHERAL NEUROPATHY | 3 NORMAL MYELIN & SCHWANN CELLS | 3 Schmidt-Lanterman Clefts | 4A2 Schmidt-Lanterman clefts (Case 4) - Copy
4A2-5 Higher magnification images of the SLC. (Electron micrographs)
