Table of Contents



Washington University Experience | PERIPHERAL NEUROPATHY | 3 NORMAL MYELIN & SCHWANN CELLS | 3 Schmidt-Lanterman Clefts | 5A1 Schmidt Lanterman cleft CIDP (Case 5)_007A - Copy

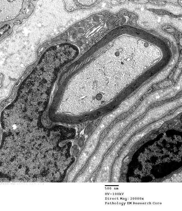
5A1 Schmidt Lanterman cleft CIDP (Case 5)_007A - Copy
A well preserved SLC in a case of CIDP.


Gallery RSS RSS Feed | Archive View | Login | Powered by Zenphoto