Table of Contents
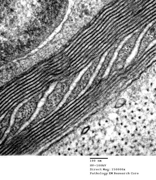
Washington University Experience | PERIPHERAL NEUROPATHY | 3 NORMAL MYELIN & SCHWANN CELLS | 3 Schmidt-Lanterman Clefts | 5A2 Schmidt Lanterman cleft CIDP (Case 5)_011A - Copy
The origin of the SLC from the Schwann cell representing focal separation of myelin at the major dense line is shown. (Electron micrograph)
