Table of Contents
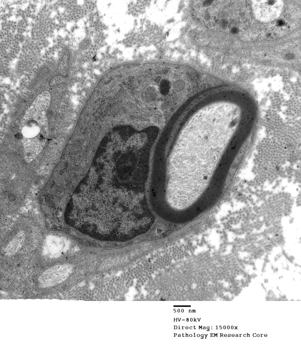
Washington University Experience | PERIPHERAL NEUROPATHY | 3 NORMAL MYELIN & SCHWANN CELLS | 3 Schmidt-Lanterman Clefts | 6A1 Normal nerve, Schmidt-Lanterman Cleft (Case 6) 002 - Copy
6A1-4 Multiple magnifications of this SLC originating from the external Schwann cell cytoplasm is shown. (Electron micrographs)
