Table of Contents
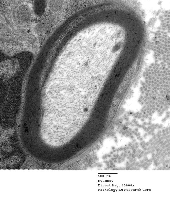
Washington University Experience | PERIPHERAL NEUROPATHY | 3 NORMAL MYELIN & SCHWANN CELLS | 3 Schmidt-Lanterman Clefts | 6A2 Normal nerve, Schmidt-Lanterman Cleft (Case 6) 003 - Copy
Higher magnification of image #6A1. (electron micrograph)
