Table of Contents
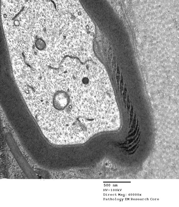
Washington University Experience | PERIPHERAL NEUROPATHY | 3 NORMAL MYELIN & SCHWANN CELLS | 3 Schmidt-Lanterman Clefts | 7A2 Schmidt-Lanterman Cleft (Case 7) EM 091 - Copy
Higher magnification of image #7A1. (electron micrograph)
