Table of Contents
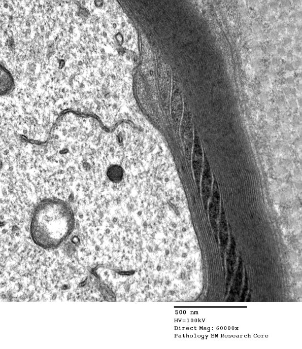
Washington University Experience | PERIPHERAL NEUROPATHY | 3 NORMAL MYELIN & SCHWANN CELLS | 3 Schmidt-Lanterman Clefts | 7A3 Schmidt-Lanterman Cleft (Case 7) EM 092 - Copy
7A3,4 Notice in this case that the SLC ends at the adaxonal space adjacent to the axon. (Electron micrograph)
