Table of Contents
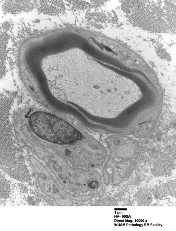
Washington University Experience | PERIPHERAL NEUROPATHY | 3 NORMAL MYELIN & SCHWANN CELLS | 3 Schmidt-Lanterman Clefts | 8A1 Schmidt-Lanterman Clefts (Case 8) EM 011 - Copy
8A1,2 In these images it is clear that the SLC external origin is from the Schwann cell cytoplasm. (Electron micrographs)
