Table of Contents
Washington University Experience | PERIPHERAL NEUROPATHY | 3 NORMAL MYELIN & SCHWANN CELLS | 3 Schmidt-Lanterman Clefts | 9A Schmidt-Lanterman Cleft (Case 9) EM 015 - Copy copy
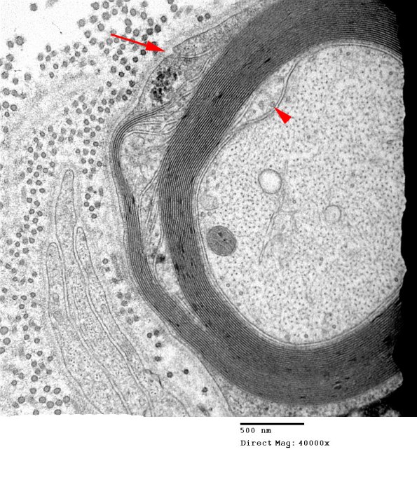
The external origin of the SLC in this case appears to involve the external mesaxon (arrow). The internal layer reaches the adaxonal space (arrowhead). (Electron micrograph)
