Table of Contents
Washington University Experience | PERIPHERAL NEUROPATHY | 3 NORMAL MYELIN & SCHWANN CELLS | 4 Pi Granules (of Reich) | 10A1 (Case 10) EM 032 - Copy
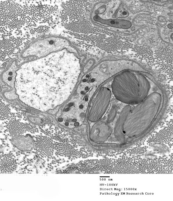
10A1,2 These Schwann cells, perhaps forming a rudimentary band of Büngner, are likely from a degenerated large myelinated axon since Schwann cells of unmyelinated axons usually do not contain Pi granules. (Electron micrographs)
