Table of Contents



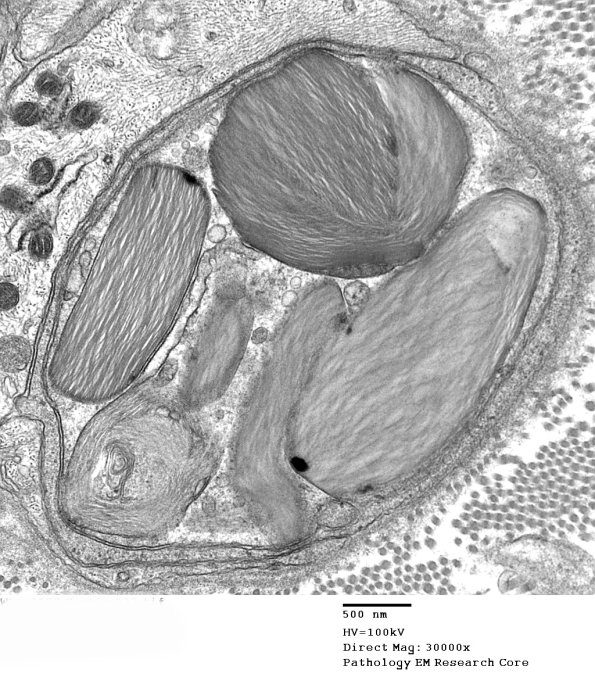
Washington University Experience | PERIPHERAL NEUROPATHY | 3 NORMAL MYELIN & SCHWANN CELLS | 4 Pi Granules (of Reich) | 10A2 (Case 10) EM 033 - Copy

10A2 (Case 10) EM 033 - Copy
Higher magnification of image #10A1. (electron micrograph)


Gallery RSS RSS Feed | Archive View | Login | Powered by Zenphoto