Table of Contents



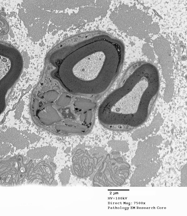
Washington University Experience | PERIPHERAL NEUROPATHY | 3 NORMAL MYELIN & SCHWANN CELLS | 4 Pi Granules (of Reich) | 11A1 (Case 11) EM 123 - Copy

11A1 (Case 11) EM 123 - Copy
11A1,2 Pi granules and a Schmidt-Lanterman cleft. (Electron micrographs)


Gallery RSS RSS Feed | Archive View | Login | Powered by Zenphoto