Table of Contents
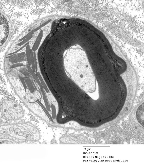
Washington University Experience | PERIPHERAL NEUROPATHY | 3 NORMAL MYELIN & SCHWANN CELLS | 4 Pi Granules (of Reich) | 12A1 (Case 12) EM 015 - Copy
12A1,2 Pi granules may be delicate and with variable periodicity. (Electron micrographs)
