Table of Contents
Washington University Experience | PERIPHERAL NEUROPATHY | 3 NORMAL MYELIN & SCHWANN CELLS | 4 Pi Granules (of Reich) | 1A2 Pi granules (Case 1) Plastic 7 copy
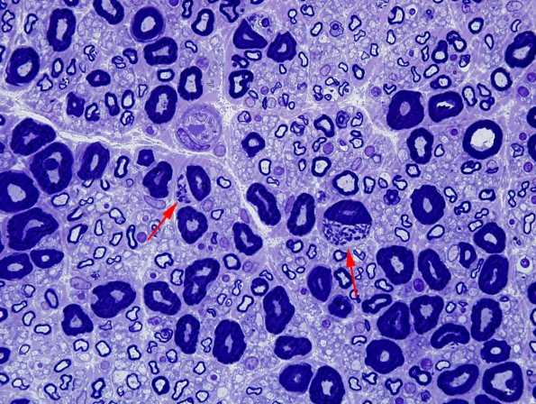
Several Schwann cells of large myelinated axons contain multiple Pi granules. (One micron thick toluidine blue stained plastic embedded section)
