Table of Contents
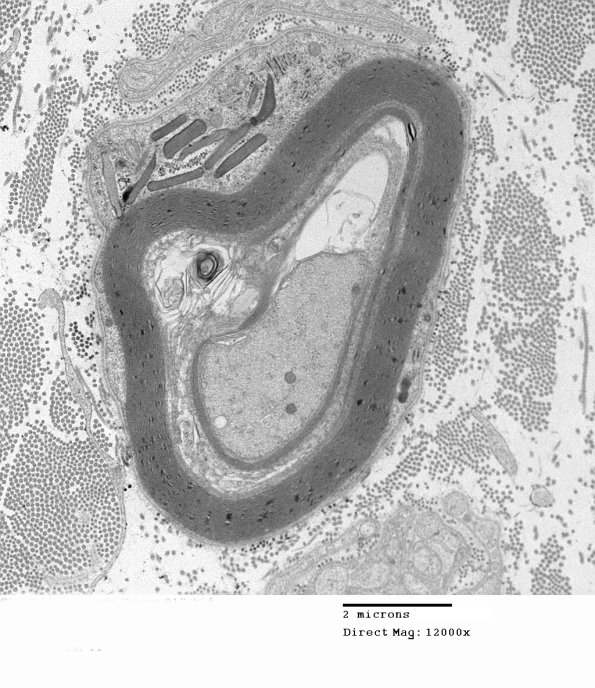
Washington University Experience | PERIPHERAL NEUROPATHY | 3 NORMAL MYELIN & SCHWANN CELLS | 4 Pi Granules (of Reich) | 2A1 (Case 2) EM017 - Copy
Typical disc shaped Pi granules seen largely on cross section. (electron micrograph)
