Table of Contents



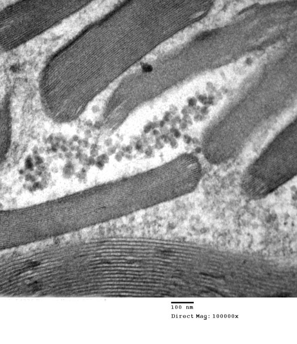
Washington University Experience | PERIPHERAL NEUROPATHY | 3 NORMAL MYELIN & SCHWANN CELLS | 4 Pi Granules (of Reich) | 2A4 (Case 2) Nerve_031 - Copy

2A4 (Case 2) Nerve_031 - Copy
Higher magnification of image #2A3. (electron micrograph)


Gallery RSS RSS Feed | Archive View | Login | Powered by Zenphoto