Table of Contents
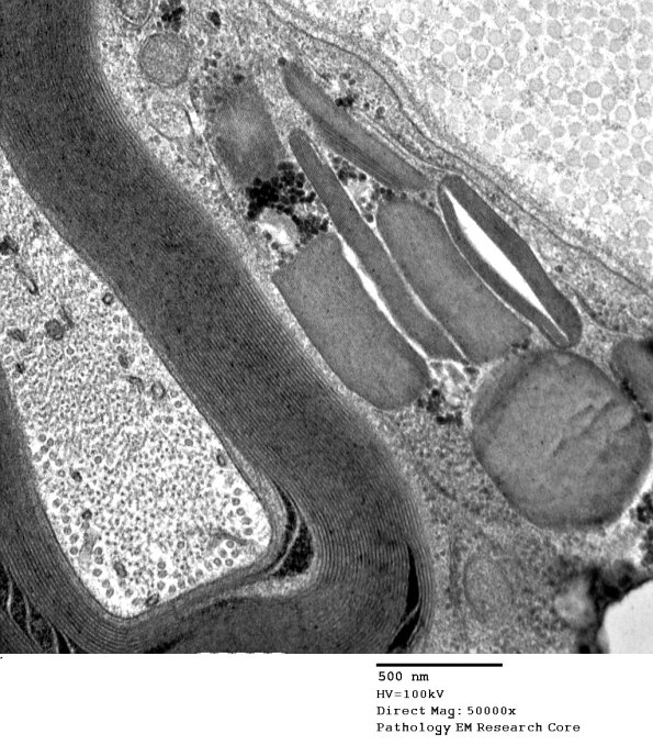
Washington University Experience | PERIPHERAL NEUROPATHY | 3 NORMAL MYELIN & SCHWANN CELLS | 4 Pi Granules (of Reich) | 3A2 Pi Granules (Case 3) EM 043 - Copy
3A2,3 Higher magnification images of Pi granules in this case. (Electron micrographs)
