Table of Contents



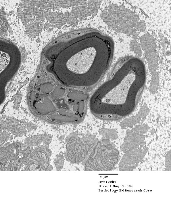
Washington University Experience | PERIPHERAL NEUROPATHY | 3 NORMAL MYELIN & SCHWANN CELLS | 4 Pi Granules (of Reich) | 4B1 PG (Case 4) EM 123 - Copy

4B1 PG (Case 4) EM 123 - Copy
4B1-3 Additional Pi granules. (Electron micrographs)


Gallery RSS RSS Feed | Archive View | Login | Powered by Zenphoto