Table of Contents



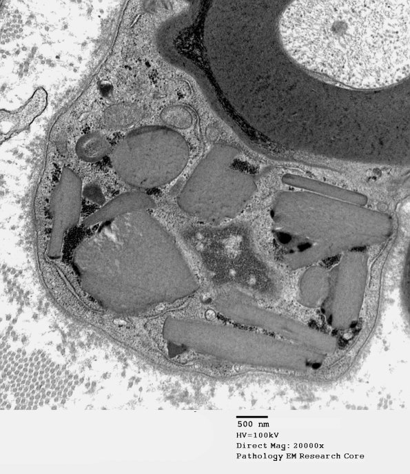
Washington University Experience | PERIPHERAL NEUROPATHY | 3 NORMAL MYELIN & SCHWANN CELLS | 4 Pi Granules (of Reich) | 4B2 PG (Case 4) EM 124 - Copy

4B2 PG (Case 4) EM 124 - Copy
Higher magnification of image #4B1. (electron micrograph)


Gallery RSS RSS Feed | Archive View | Login | Powered by Zenphoto