Table of Contents
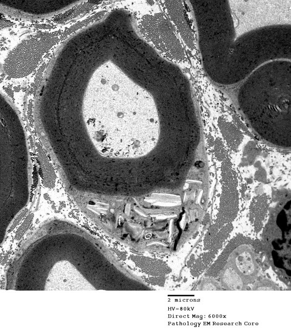
Washington University Experience | PERIPHERAL NEUROPATHY | 3 NORMAL MYELIN & SCHWANN CELLS | 4 Pi Granules (of Reich) | 5A1 Normal axon, sural (Case 5) EM 021 - Copy
5A1,2 The composition varies with some forms resembling “zebra bodies”. (Electron micrographs)
