Table of Contents
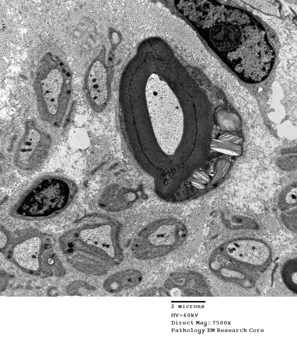
Washington University Experience | PERIPHERAL NEUROPATHY | 3 NORMAL MYELIN & SCHWANN CELLS | 4 Pi Granules (of Reich) | 6A1 Normal nerve, Pi granules (Case 6) EM 2 - Copy
6A1,2 Another case with zebra body-like granules. (Electron micrographs)
