Table of Contents
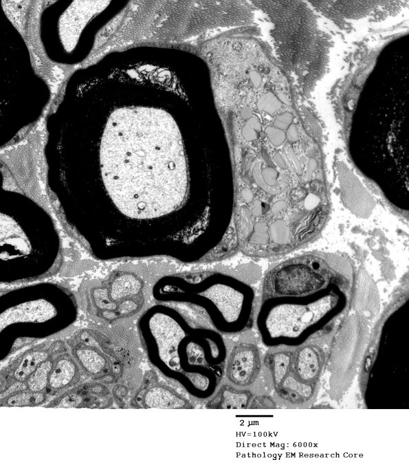
Washington University Experience | PERIPHERAL NEUROPATHY | 3 NORMAL MYELIN & SCHWANN CELLS | 4 Pi Granules (of Reich) | 7A1 Normal Nerve (Case 7) new_042A - Copy
7A1,2 These Pi granules have very little substructure. (Electron micrographs)
