Table of Contents



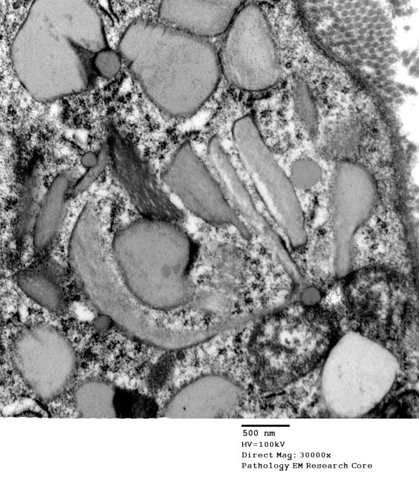
Washington University Experience | PERIPHERAL NEUROPATHY | 3 NORMAL MYELIN & SCHWANN CELLS | 4 Pi Granules (of Reich) | 7A2 Normal Nerve (Case 7) new_044A - Copy

7A2 Normal Nerve (Case 7) new_044A - Copy
Higher magnification of image #7A1. (electron micrograph)


Gallery RSS RSS Feed | Archive View | Login | Powered by Zenphoto