Table of Contents
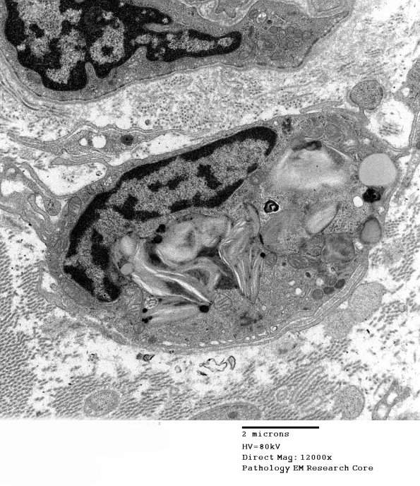
Washington University Experience | PERIPHERAL NEUROPATHY | 3 NORMAL MYELIN & SCHWANN CELLS | 4 Pi Granules (of Reich) | 8A1 (Case 8) Nerve_006 - Copy
8A1,2 In this case variably dense Pi granules are present within a macrophage. (Electron micrographs)
