Table of Contents
Washington University Experience | PERIPHERAL NEUROPATHY | 3 NORMAL MYELIN & SCHWANN CELLS | 4 Pi Granules (of Reich) | 9A1 (Case 9) EM 023 - Copy
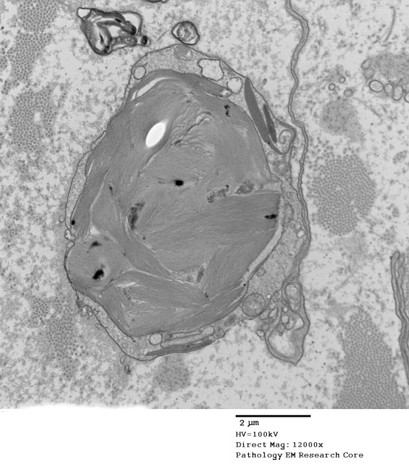
An enormous Pi granule in what appears to be a macrophage. (Electron micrograph)
