Table of Contents
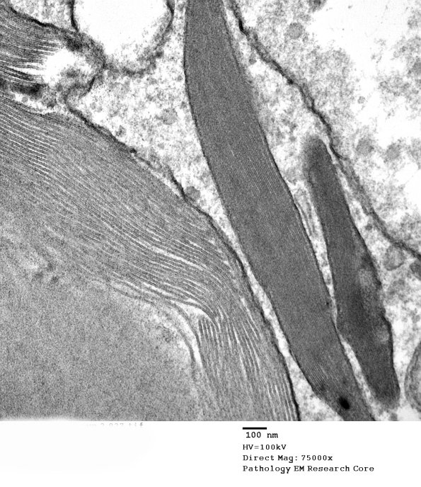
Washington University Experience | PERIPHERAL NEUROPATHY | 3 NORMAL MYELIN & SCHWANN CELLS | 4 Pi Granules (of Reich) | 9A2 (Case 9) EM 027 - Copy
The smaller Pi granule has a typical periodicity but the large inclusion has an unusual appearance and increased periodicity. (Electron micrograph)
