Table of Contents
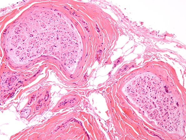
Washington University Experience | PERIPHERAL NEUROPATHY | 4 AXONAL DEGENERATION | 1 H&E & IHC | 10A1 Axonal degeneration (Case 10) H&E 1
Case 10 History ---- The patient is a 71-year-old male with muscle weakness and numbness in all four distal extremities. EMG shows mononeuritis multiplex associated with a rheumatoid arthritis flare-up. His serology is remarkable for elevated NSF antibody titers which are associated with immune neuropathies. ---- 10A1,2 The complement of normal axons may be difficult to appreciate in H&E-stained paraffin sections. (H&E)
