Table of Contents
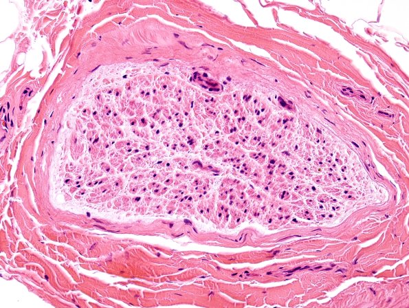
Washington University Experience | PERIPHERAL NEUROPATHY | 4 AXONAL DEGENERATION | 1 H&E & IHC | 10A2 Axonal degeneration (Case 10) H&E
The complement of normal axons may be difficult to appreciate in H&E-stained paraffin sections. (H&E)
