Table of Contents
Washington University Experience | PERIPHERAL NEUROPATHY | 4 AXONAL DEGENERATION | 1 H&E & IHC | 11A1 Fibrosis (Case 11) H&E 1
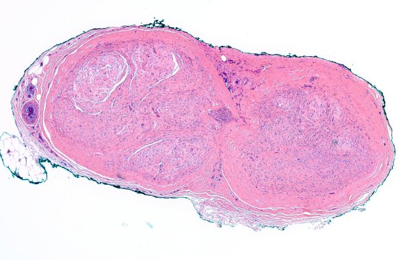
Case 11 History ---- The patient is an 82-year-old male with an ANA titer of 1:40 with a speckled pattern in 1997 and an elevated hemoglobin A1C measurement in 2007. Clinical diagnosis: Neuropathy. Operative procedure: Right superficial peroneal nerve biopsy in 2007. ---- 11A This is an unusual pattern of marked epineurial and endoneurial fibrosis. (H&E)
