Table of Contents



Washington University Experience | PERIPHERAL NEUROPATHY | 4 AXONAL DEGENERATION | 1 H&E & IHC | 11B2 Fibrosis (Case 11) EMA 2

11B2 Fibrosis (Case 11) EMA 2
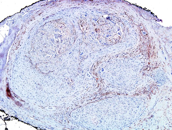
The perineurium is discontinuous and merges with the fibrotic epineurium. (EMA IHC)


Gallery RSS RSS Feed | Archive View | Login | Powered by Zenphoto