Table of Contents
Washington University Experience | PERIPHERAL NEUROPATHY | 4 AXONAL DEGENERATION | 1 H&E & IHC | 12A1 End Stage Nerve (Case 12) H&E 1
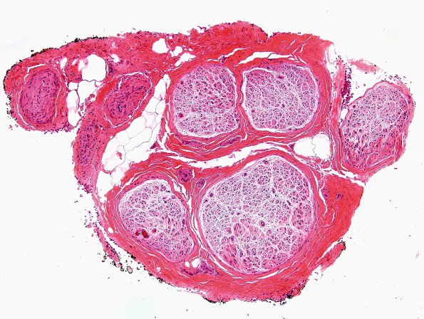
Case 12 History ---- The patient is a 58 year old woman with muscle weakness. Operative procedure: Right sural nerve biopsy. ---- 12A1,2 In this patient there are very few axons remaining in the sural nerve, even with minimal apparent sensory dysfunction. (H&E)
