Table of Contents
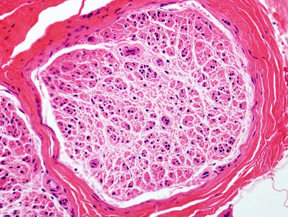
Washington University Experience | PERIPHERAL NEUROPATHY | 4 AXONAL DEGENERATION | 1 H&E & IHC | 12A2 End Stage Nerve (Case 12) H&E 2
In this patient there are very few axons remaining in the sural nerve, even with minimal apparent sensory dysfunction. (H&E)
