Table of Contents
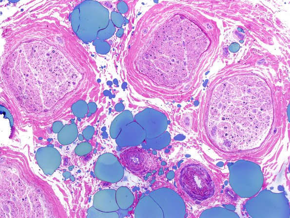
Washington University Experience | PERIPHERAL NEUROPATHY | 4 AXONAL DEGENERATION | 1 H&E & IHC | 13A1 Pyronine Thionine Stain (Case 13) Plastic 6.jpg
Case 13 No History ---- These images are derived from Pyronine Thionine stained one micron plastic sections. ---- 13A1-3 This is an attractive stain for plastic sections in which the endoneurial collagen is red. (Pyronine Thionine stained one micron plastic sections)
