Table of Contents
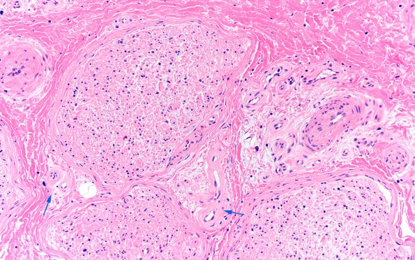
Washington University Experience | PERIPHERAL NEUROPATHY | 4 AXONAL DEGENERATION | 1 H&E & IHC | 14A2 End Stage Nerve (Case 14) H&E 20X copy
There is significant pallor in these denervated fascicles as well as hyaline thickened vessels expected in a diabetic patient.
