Table of Contents
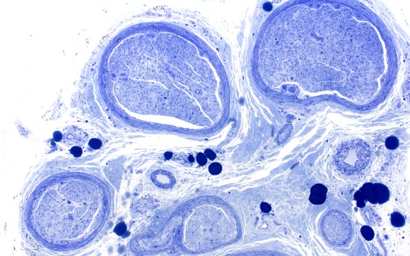
Washington University Experience | PERIPHERAL NEUROPATHY | 4 AXONAL DEGENERATION | 1 H&E & IHC | 14F1 End Stage Nerve (Case 14) Plastic 10X
14F1-4 This is an “end stage nerve” with little evidence for any residual axons, although rare small myelinated axons remain. (Toluidine blue stained one-micron thick plastic embedded sections)
