Table of Contents
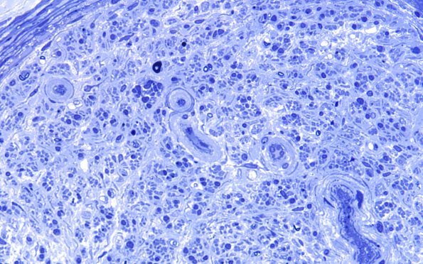
Washington University Experience | PERIPHERAL NEUROPATHY | 4 AXONAL DEGENERATION | 1 H&E & IHC | 14F3 End Stage Nerve (Case 14) Plastic 60X
The atrophy and loss of myelinated axons results in the increase in density of Schwann cell nuclei. (Toluidine blue stained one micron thick plastic embedded sections)
