Table of Contents
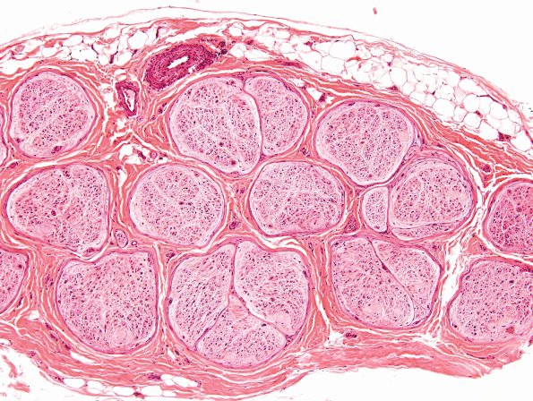
Washington University Experience | PERIPHERAL NEUROPATHY | 4 AXONAL DEGENERATION | 1 H&E & IHC | 15A1 End stage nerve (Case 15) H&E 1
Case 15 History ---- The patient is a 42 year old male with a longstanding history of painful peripheral neuropathy, culminating in loss of sensation in his lower extremities. Laboratory studies show elevated serum cholesterol (255) and triglycerides (540), and a mildly increased IgM concentration. Hemoglobin A1C has been measured as 5.7. Operative procedure: Left gastrocnemius muscle biopsy and left sural nerve biopsy. No diagnosis of the pathogenesis of the underlying neuropathy was made. ---- 15A1,2 The pallor of the endoneurium reflects the loss of axons. (H&E)
