Table of Contents



Washington University Experience | PERIPHERAL NEUROPATHY | 4 AXONAL DEGENERATION | 1 H&E & IHC | 15A2 End stage nerve (Case 15) H&E 2

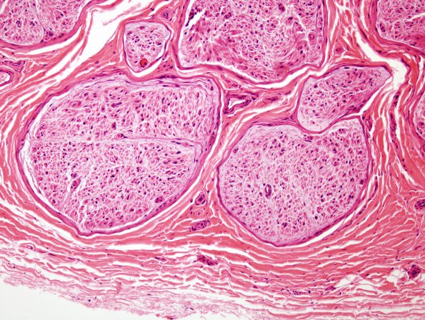
15A2 End stage nerve (Case 15) H&E 2
The pallor of the endoneurium reflects the loss of axons. (H&E)


Gallery RSS RSS Feed | Archive View | Login | Powered by Zenphoto