Table of Contents
Washington University Experience | PERIPHERAL NEUROPATHY | 4 AXONAL DEGENERATION | 1 H&E & IHC | 16A1 Axon Loss, Sciatic (Case 16) 1 NF 3 copy
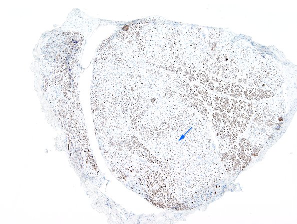
Case 16 History ---- The patient is a 28 year-old male with left sciatic neuropathy for more than 2 years beginning with a limp which has progressed to weakness and numbness in the left lower extremity. Lower extremity MRI shows diffuse enlargement and enhancement of the left sciatic nerve without a discrete mass. EMG and NCT show abnormalities consistent with left sciatic neuropathy localized to the mid- to upper thigh primarily affecting the tibial component of the sciatic nerve. Operative procedure: Exploration of left sciatic nerve with biopsy and intra-operative frozen section to rule-out neoplasia. ---- 16A1,2 This portion of the sciatic nerve shows patchy loss of axons (NF, 11A1, arrow) and loss of Schwann cells (S100, 11A2) in this long term neuropathy.
