Table of Contents
Washington University Experience | PERIPHERAL NEUROPATHY | 4 AXONAL DEGENERATION | 1 H&E & IHC | 16A2 Axon Loss, Sciatic (Case 16) 1 S100 3
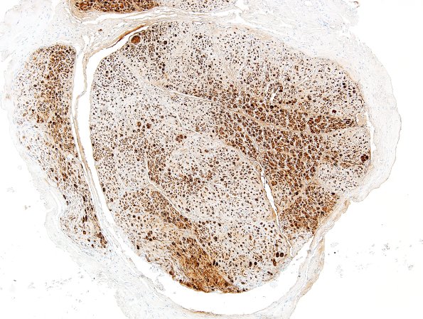
This portion of the sciatic nerve shows patchy loss of Schwann cells in this long term neuropathy. (S100 IHC)
