Table of Contents
Washington University Experience | PERIPHERAL NEUROPATHY | 4 AXONAL DEGENERATION | 1 H&E & IHC | 16A3 Axon Loss, Sciatic (Case 16) NF 2
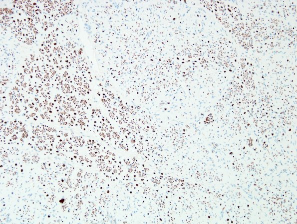
Higher magnification of the nerve showing patchy axon and Schwann cell loss. Schwann cells proliferate in active neuropathy but atrophy if axons do not reconnect with them. (NF IHC)
