Table of Contents
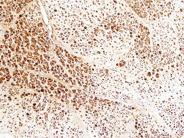
Washington University Experience | PERIPHERAL NEUROPATHY | 4 AXONAL DEGENERATION | 1 H&E & IHC | 16A4 Axon Loss, Sciatic (Case 16) S100 2
Higher magnification view of the S100 stained area as shown in image #11A3. (S100 IHC) ---- Not shown: No onion-bulbs were discovered.
