Table of Contents
Washington University Experience | PERIPHERAL NEUROPATHY | 4 AXONAL DEGENERATION | 1 H&E & IHC | 1B2 Regeneration NF (Case 1) A
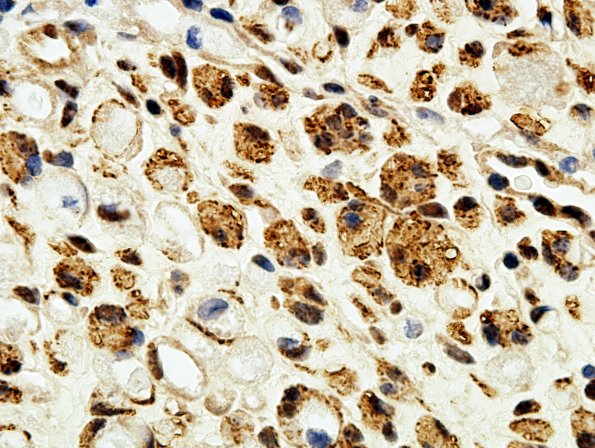
These are Schwann cells with degenerating axonal debris and early regeneration of axons and macrophages with axonal debris. (NF IHC)
