Table of Contents
Washington University Experience | PERIPHERAL NEUROPATHY | 4 AXONAL DEGENERATION | 1 H&E & IHC | 1C2 Regeneration Coll IV (Case 1) bA
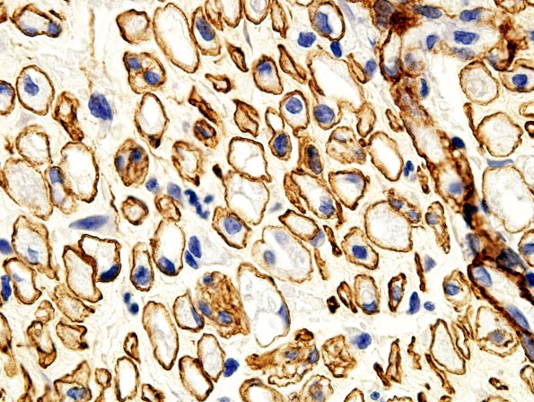
These degenerating/regenerating axons demonstrate Schwann cell nuclei and, in some cases, macrophages within the original basement membrane of the axon. (Collagen IV) IHC)
