Table of Contents
Washington University Experience | PERIPHERAL NEUROPATHY | 4 AXONAL DEGENERATION | 1 H&E & IHC | 2A1 Axonal Degeneration (Case 2) H&E 3 (2)
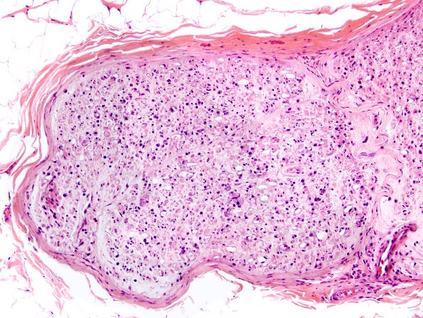
Case 2 History ---- The patient is a 46 year old female with a history of four cervical and lumbar spinal surgeries, a motor vehicle accident in 2005, and seizures, who now has a 3-4 week history of weakness of the right arm and wrist as well as her left leg and ankle. In addition, there is loss of pinprick sensation over the right hand and forearm, and left lower extremity up to the knee. Clinical diagnosis: Possible mononeuritis multiplex. Operative procedure: Left sural nerve biopsy. ---- 2A1-3 These features are those of a severe neuropathy dominated by axonal degeneration which appears monophasic suggesting more proximal catastrophic damage to the nerve. While we identify no evidence of vasculitis in the tissue examined, vascular inflammation and damage may be patchy and focal, even in systemic disease. It is possible that there is severe vasculitis and damage proximally in this case resulting in distal degeneration of the majority of axons in the nerve, i.e., a pattern not inconsistent with mononeuritis multiplex due to vasculitis.
