Table of Contents
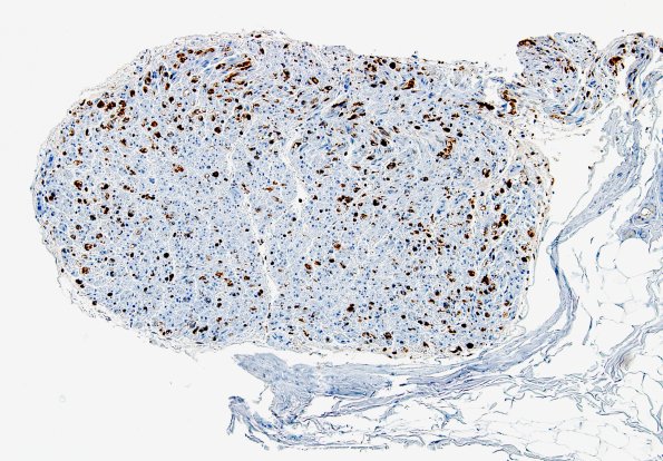
Washington University Experience | PERIPHERAL NEUROPATHY | 4 AXONAL DEGENERATION | 1 H&E & IHC | 2C1 Axonal Degeneration (Case 2) distal to vasculitis CD-68 4
2C1-3 Macrophages with engulfed myelin and axonal debris are shown. (CD68 IHC)
