Table of Contents
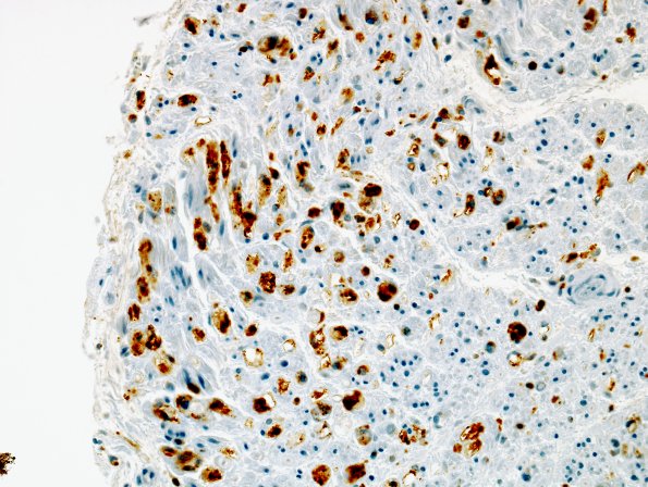
Washington University Experience | PERIPHERAL NEUROPATHY | 4 AXONAL DEGENERATION | 1 H&E & IHC | 2C2 Axonal Degeneration (Case 2) distal to vasculitis CD-68 1
Macrophages with engulfed myelin and axonal debris are shown. (CD68 IHC)
