Table of Contents
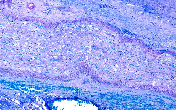
Washington University Experience | PERIPHERAL NEUROPATHY | 4 AXONAL DEGENERATION | 1 H&E & IHC | 3B1 Axonal Degeneration (Case 3) LFB-PAS 10X
3B1-3 Multiple magnifications of the same nerve fascicle shown in images 10A1-3 stained for myelin. Normal myelinated axons are missing with blue myelin debris in Schwann cells which has not yet been digested by macrophages into PAS positive elements. (LFB-PAS)
