Table of Contents
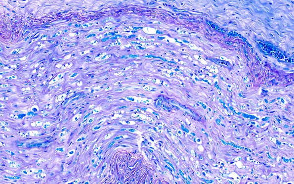
Washington University Experience | PERIPHERAL NEUROPATHY | 4 AXONAL DEGENERATION | 1 H&E & IHC | 3B2 Axonal Degeneration (Case 3) LFB-PAS 20X
Normal myelinated axons are missing with blue myelin debris in Schwann cells which has not yet been digested by macrophages into PAS positive elements. (LFB-PAS)
