Table of Contents
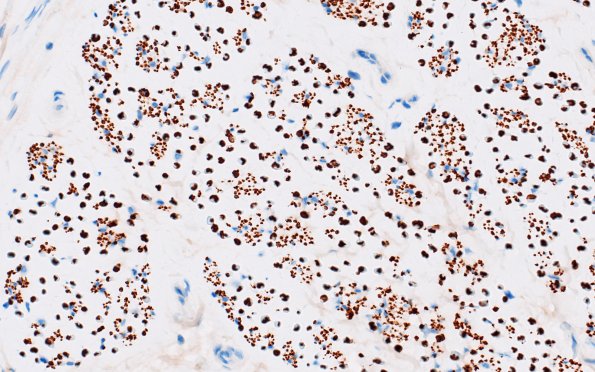
Washington University Experience | PERIPHERAL NEUROPATHY | 4 AXONAL DEGENERATION | 1 H&E & IHC | 3C4 Axonal Degeneration (Case 3) NF 40X 1A
Occasional fascicles appear intact in the hand resection specimen. (NF IHC) ---- Not Shown: There were numerous endoneurial macrophages stained with CD68.
